喝凉水、吃生食,家长们可要注意了,千万别让孩子养成这样的习惯。
因为长期喝生水、吃生食,有可能会使孩子的脑子里长出寄生虫!
这绝不是耸人听闻,近日,我院神经外科就治愈一例肺吸虫感染、脑型肺吸虫病患儿。
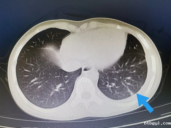
近日,一向身体健康的8岁的小男孩小阳(化名),几天前突然开始剧烈头痛,反复恶心、呕吐,奶奶赶紧把他送到我院就诊。 起初,大家认为小阳只是简单的感冒或则肠胃问题,普通检查没有找到病因,最终在颅脑CT提示下发现小阳“左侧枕叶脑出血伴血肿形成”。 患儿入院影像(左图为颅内出血、右图为胸腔积液及心包积液) 入住神经外科后,考虑到小阳近期并没有受过外伤,依据既往经验,小阳的脑出血可能是先天性血管畸形,但完善相关脑血管检查后却提示小孩脑血管正常,诊断一时陷入了僵局。 仔细问诊 查找蛛丝马迹 经过不断询问,副主任医师汪棋笙了解到小阳来自山区农村,且平时有喝生水和吃生螃蟹的习惯,汪棋笙似乎找到了诊断的关键。回顾了小阳血常规结果嗜酸性粒细胞较正常增高4倍,结合患儿心肺CT提示心包积液、胸腔积液,存在多器官损害表现,汪棋笙高度怀疑小阳就是肺吸虫感染、脑型肺吸虫病。 多方打探 从成都邀请工作人员上门检测 近年来肺吸虫病感染率非常低,肺吸虫血清抗体检测在周边各大医疗中心均已停止开展此项检查,诊断再次陷入困难。经多方打听,最终联系到可以开展此项检测的机构,为此,科室立即联系,邀请工作人员从成都赶来上门抽血检测。最终确立了肺吸虫感染、脑型肺吸虫病的诊断。 寻遍全省 获得特效药 尽管小阳的诊断已明确,可新的问题又再次出现,治疗肺吸虫的特效药物“吡喹酮片”医院及市场上已经无法购得。科室可谓是全员出动,寻遍各级医疗机构,最终从四川省疾控中心获得该药物,治愈了小阳。 患儿出院影像(颅内出血、胸腔积液及心包积液已基本吸收) 特别提醒: 饮用生水或吃了未经煮熟的青蛙、蛇等肉类,容易导致寄生虫感染,寄生虫可进入血管,并通过血液循环进入大脑内生存,引发相关脑病。 肺吸虫是什么? 肺吸虫又称并殖吸虫,是甲壳类哺乳动物的常见人兽共患寄生虫。当它们在组织中迁移时会引发嗜酸性反应,因此我们可以在化验单上看到嗜酸性粒细胞增多。肺吸虫感染人体后主要寄生于肺部,还可异位至脑部、腹部及皮下等部位,引起相应的器官组织病变。 哪些习惯容易招虫? 近年来发病率有所下降,但在部分人或因饮生水、生食或者半生食虾蟹的习惯,导致该病时有发生。 如何预防肺吸虫感染? 1.不要随意喝生水,尤其是河水、小溪水等。 2.切勿吃生的淡水螃蟹、小龙虾等,一定要煮熟。 3.避免食用未煮熟的其它淡水甲壳类动物或来自污染水源的淡水鱼类。 神经外科联系电话:0830-5216264


