手术不是终点!一次治疗≠终身无忧
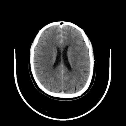
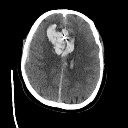
提到脑动脉瘤,很多人以为做完开颅夹闭或介入栓塞手术就万事大吉。但据临床研究:两类手术均存在复发可能!动脉瘤复发率与动脉瘤大小、位置、形态、性质、瘤颈情况、治疗方式、术后即刻结果、抗血小板使用情况等因素相关。因此,定期复查对评估手术效果、术后复发风险及是否需及时干预等至关重要。 真实案例:曾某,54岁,因颅内动脉瘤破裂开颅动脉瘤夹闭术,术后第 3 年突然头痛难忍,复查发现动脉瘤复发并出血,再次行开颅手术挽救了生命。幸亏及时干预才避免悲剧,但不是每个患者都那么幸运! 第一次术前头颅CT 第二次术前头颅CT 划重点:术后定期复查不是“选择题”,而是保命必答题! 为什么要复查? 三大核心目标揭秘 1.评估手术效果:确认动脉瘤愈合情况,是否存在残留或复发。 2.监测并发症:如是否存在脑积水、脑血管狭窄、脑梗死等。 3.调整治疗方案:根据复查结果决定是否需要调整用药或进一步干预。 三大复查项目 1.CT血管成像(CTA):具有快速、经济、无创的特点,可作为颅内动脉瘤术后的常规影像学随访手段,需要静脉注射造影剂后行CT检查,可以较好地显示动脉瘤术后的血管结构,了解动脉瘤夹或栓塞材料的位置及周围血管情况,同时可以显示有无脑积水等情况。 2.磁共振血管成像(MRA):是一种无创检查,不需要注射造影剂,对人体无辐射,能较好地显示脑血管的大致形态和脑动脉瘤术后情况。 3.脑血管造影(DSA):是一种微创检查,为脑动脉瘤检查的“金标准”,它能清晰显示动脉瘤夹闭或栓塞后的情况,准确判断动脉瘤有无残留、复发以及血管的通畅程度。 动脉瘤治疗后复查周期怎么定? 1.对于复发低风险患者:推荐术后1月复查头颅CT,半年和一年连续两次头颅CTA或DSA(至少一次DSA),如两次结果均为治愈,可3-5年复查一次。 2.对于复发风险高的患者:术后3个月、6个月和1年分别进行一次CTA或DSA(至少一次DSA),部分复发风险高的患者甚至在出院前需复查一次CTA或DSA。 3.对于术后动脉瘤夹闭或栓塞效果满意的患者:建议在术后半年或1年完成一次DSA。若复查显示动脉瘤完全闭塞且无显影,后续可延长复查间隔至每3-5年一次。 (以上复查时间仅供参考,具体时间需专科医师个体化决定,详情请咨询神经外科:0830-5216264 ,地址:门诊综合楼二楼204室) 脑动脉瘤复发了怎么办?这些救命知识要知道 如果复查发现动脉瘤复发,千万别慌!虽然复发动脉瘤发生瘤体增大、破裂出血的风险更高,但目前有多种成熟治疗手段。以下是复发动脉瘤处理措施包括但不限于: 1.减少抗血小板药物的使用; 2.再次开颅夹闭术或介入栓塞术或开颅夹闭+介入栓塞复合手术; 3.搭桥或载瘤动脉闭塞孤立动脉瘤术。 随着手术技术及手术材料的发展,动脉瘤复发率正逐年减低,随访周期及方法也在不断地变化,正确、规律的随访仍然是降低动脉瘤致死和致残率的有效方式。 最后敲黑板!三条“生存法则”请牢记 1.术后第一年是复发高峰,务必严格按医嘱复查。 2.出现突发头痛、呕吐、意识模糊等症状,立即就医! 3.选择同时具备开颅 + 介入技术的医院,为二次治疗留足空间 转发提醒:脑动脉瘤被称为“颅内不定时炸弹”,转发本文给身边有需要的人,一次提醒可能挽救一条生命!

